コラム
ホーム » 赤ちゃんの顎は「まるい」が正解|さんかくの顎は負の連鎖の入口「将来の呼吸と歯並びの分岐点」
赤ちゃんの顎は「まるい」が正解|さんかくの顎は負の連鎖の入口「将来の呼吸と歯並びの分岐点」
さんかくの顎は骨格の劣成長の「手前」の重大サイン|大切なのは赤ちゃんの口呼吸に気付く「超・早期発見」
医科・歯科に限らず、予防は最も大切な意識です。これは矯正治療に関しても例外ではありません。矯正治療=審美と考えると、まだ子どもだし、「あとでもいっか」が、つい頭をよぎります。
ですが、歯並びが悪くなるのには、原因と過程があります。そうなんです。よくよく考えると、ある日突然、歯並びが悪くなるわけではないんですね。「まるい顎」と「さんかくの顎」はそのサイン。そして、行き着く先は「骨格の問題」です。
だったらその原因は、取り返しのつかないことになる前に対処するのがベストです。そこにはすでに赤ちゃん期、さらにいうならば胎児期からの成長が関わっています。
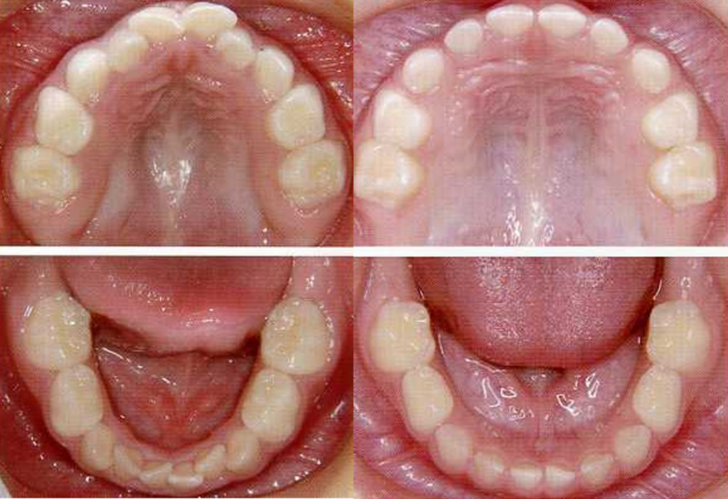
- 左:さんかくの顎
- 右:まるい顎
文字通り、お口の成長において「左側の成長が△」で「右側の成長が◯」です。乳歯列期のすきっ歯は、ほぼ問題ありません。そうでなければ、乳歯より大きな永久歯は並べません。
さんかくの顎、これが矯正歯科で指摘される「顎が小さい」の正体です。そして、これは「成長の結果」。多くはサイズの問題ではありません。「顎が小さい方がかわいい」、赤ちゃん歯科に来られた親御様から時々聞く言葉です。だから、「顎を拡げる」と聞くと、どこかネガティブに聞こえる。
違います。まず、顎の成長には「歯並び」はおろか、「呼吸」が関わります。そして、顎を拡げた(正しい理解は、本来そうあったであろう形に戻した)結果、「かわいくなくなりましたか?」
ランパセラピーによって、顎が拡がった子どもたちからご判断ください。
まるい顎とさんかくの顎
資料の左側のまぁるい顎が理想的に育った顎です。右側のV字のような三角形に近い形の顎は少々問題を抱えて成長している顎です。これは将来的に矯正治療が必要になる可能性を示すサインです。
「まるく育つ」「さんかくに育つ」は、たまたまの現象ではありません。成長の結果です。
当院でもサポートいたします。お子様のお口がまぁるく育つよう、二人三脚でまいりましょう。
一番上の抱っこの写真は、まるい顎やさんかくの顎に育つ過程の一例です。下の写真では「歯がきれいに揃いそう」や「歯並び悪くなりそう」は一目瞭然ですね。
理想的なお口を育てるには、赤ちゃんの時期からの抱っこの仕方やハイハイの仕方、抱っこ紐の使い方、授乳の仕方、離乳食など多くの事が関わります。
しかし、これらは生活の中でのお話しです。「すべてに気を付けてください」も難しいです。ですが知っておけば気を付けられる場面があると思います。
歯科は「歯のことだけ」は、一昔前のお話しです。これらはお口の健康を通して、身体全体を見据えたことだと、ぜひ頭の片隅に置かれてください。
赤ちゃんの成長は生まれてからではありませんね。当然ママのお腹にいる時からすでに始まっています。エコー写真は、理想的なまんまる子宮の形です。自分でCカーブを作って頑張っています。赤ちゃんの成長に最適環境です。ですが、子宮の形は近年は様々。赤ちゃんが過ごしづらいとやっぱり成長に何かしらの影響が出ます。「生まれつき」の一因ですね。
抱っこ紐の使い方から
「抱っこ紐の使い方から導かれること」についてお話しいたします。今一度、先ほどの資料をご確認ください。
まず結論からですが、右側の写真にあるような抱っこ紐の使い方です。頸が後ろに垂れて、ちょうどママの顔を見上げる形でしょうか?ママとしては子どもと目も合い、可愛いですよね。とてもよく分かります。
でも、これは赤ちゃんの正しい成長には非常によくない姿勢です。
「あれ?でもこれって…」と思いませんか?そう、日常よく見る光景です。
抱っこ紐の商品紹介でも見かけますが、私は商品より赤ちゃんの姿勢が気になって仕方がありません。お母さんたちはなおさらこの姿勢に違和感を感じないですよね。これでいいんだといわれているようなものです。
日々の生活によっては、赤ちゃんはかなりの時間をこの体勢で過ごします。このまま寝てしまうことも多いものです。
![]()
さて、大人の方、電球を変えるなどで上を向かなくてはいけない作業の経験はありますでしょうか?たった10分でも、ずっとその姿勢でいたら首が痛くなります。筋肉の凝り、緊張という状態です。実は赤ちゃんも一緒なんですね。下のイラストをご覧ください。
舌骨という骨があります。この骨、身体の中で唯一、どの骨とも触れていません。すべて筋肉によって支えられています。舌骨と肩から延びる筋肉が繋がっているのがお分かりでしょうか?
先述の首周りの筋緊張は、舌骨を下へと引っ張ります。その結果、舌骨は下がり、それにつられて下顎や舌も引っ張られて下がります。
その結果が「口呼吸」です。
冒頭の資料であった「さんかく(V字)の顎」は、口呼吸になっている子どもの典型的な顎の形です。
![]()
とはいえ「一日の内でもそんなに長い時間、抱っこ紐を使ってないよ」とのご理解では齟齬が生まれます。抱っこ紐の使い方は一例です。口呼吸を導いてしまう生活習慣の一つ一つが問題になります。
抱っこ紐の一例をとっても、例え保育園の送り迎えの30分とはいえ、赤ちゃんの習慣としては、れっきとした積み重ねになります。
鼻呼吸がきちんとできている方でも、単に上を向くだけで舌が上顎から離れやすくなっていることにお気付きになりますでしょうか?この姿勢は口呼吸になりやすい状況ということです。
口呼吸とはつまり、イラストで示す「舌圧」の力が弱くなってることになります。さんかくの顎になってしまうイメージもできますでしょうか?
「まるい顎」と「さんかくの顎」は、赤ちゃんのお口の成長を表している重要なサインです。では、これを「まるい顎=鼻呼吸」、「さんかくの顎=口呼吸」とした場合、これらの呼吸の違いは酸素を取り入れる能力としても変わってきます。
酸素摂取効率の差:鼻呼吸は「約10〜20%」高い
多くの研究(Swift氏らの研究など)において、鼻呼吸は口呼吸に比べて、動脈血中の酸素分圧を約10〜20%上昇させることが示されています。
鼻呼吸と口呼吸の「酸素摂取効率」に関するデータには、主に一酸化窒素の有無と、肺でのガス交換効率(気道抵抗)という2つの側面から明確な差を示す研究があります。
- 「一酸化窒素(NO)」
鼻呼吸が、酸素摂取に有利な最大の理由は、副鼻腔で産生される一酸化窒素にあります。
メカニズム:鼻から息を吸うと、副鼻腔で発生した一酸化窒素が肺へ運ばれます。一酸化窒素には血管拡張作用があるので、肺の毛細血管が広がり、酸素が血液中へ移動する効率(ガス交換効率)が向上します。
口から吸った空気には一酸化窒素が含まれないため、肺の血管が十分に広がらず、同じ量の空気を吸い込んでも、血液に取り込まれる酸素量は少なくなります。
- 「気道抵抗」
鼻腔は口よりも狭いため、呼吸の際に適度な抵抗が生まれます。これが実は重要です。
メカニズム:抵抗があることで、呼気(吐く息)のスピードが抑えられ、肺の中に空気が留まる時間が長くなります。これにより、肺胞で酸素を吸収する時間が確保されます。
口呼吸では抵抗が少なすぎるため、空気の出し入れが早くなり、「浅い呼吸」になりがちです。結果として、肺の下部まで空気が届かず、酸素摂取効率が低下します。
一生懸命に空気を吸っているのに、身体が酸欠…そんな矛盾が「口呼吸」では起こっています。鼻を通ることで初めて、効率よく酸素が全身へ届くのです。
特に、赤ちゃんの最初の1年の成長はこれから生きていくための大切な準備期間です。脳や身体の成長には酸素が不可欠。そして正しい口腔域の発達には、舌が上顎についた状態(鼻呼吸)が不可欠です。本当に人間の仕組みってよくできています。
口呼吸から考えられる骨格の成長
口呼吸、つまり舌があるべき位置(上顎につく位置)にないことで起こるのが、中顔面(鼻廻りのあたり)の下方成長となります。赤ちゃんであっても、例外とはなりません。
この力に対抗し、下から支えているのが、本来は上顎についているはずの「舌」なんですね。
本来であれば、この上顎についた舌は中顔面を上前方という健全な方向へ向かわせる大切な役割があります。そして歯並びにとって大切な、唇側からの筋肉の力とのバランスを取る役割もあります。
しかし、舌がその役割を果たせないことで下方成長は進み、上顎骨が歪みはじめ、不正咬合や鼻副鼻腔の狭小化へと繋がっていきます。お顔立ちも縦に伸びる方向に成長は進みます。上顎が下がっているガミースマイルはその分かりやすい例です。
![]()
さて、ここまできてしまった場合、骨格はすでにある程度固まってきます。鼻の通りも悪くなり、舌もさらに上顎につきにくいお口の環境となってきます。こうなってしまうと、舌を上顎につければいいとの話ではないですね。
これでは困ります。どうにかしてこの骨格を整え直して、鼻呼吸がきちんとできるようにできないものでしょうか?
ここから先は矯正治療「ランパセラピー」でお伝えしていることへと繋がっていきます。
顎の骨格の劣成長は、呼吸機能の低下から、脳や身体の酸素不足を招きます。ランパセラピーは他の矯正と何が違うのか?今まで悩んでいた小児矯正に関する疑問。ランパセラピーの中に、その答えが見つけられるかもしれません。
まとめ:矯正治療が必要にならないように
まるい顎とさんかくの顎、この二つはいずれも日々の生活習慣の積み重ねによってでき上がった結果です。それらの個々の結果から導かれるのが、歯列の問題であり、呼吸の問題です。
もしも、赤ちゃんのうちから理想的なお口を手に入れられたとしたならば、それは後々手に入れていたかもしれない矯正治療の結果よりも「一生もの」です。
![]()
本ページでは、抱っこ紐を一例としてお話ししました。
もし首に支えのないタイプの抱っこ紐をお使いでしたら、首を支えるオプション品などは使ってあげてください。それぞれのご事情もあるでしょうが、当院ではスリングタイプの抱っこ紐をおすすめしています。
まだ柔軟性のある赤ちゃんの時期ならば、対処の仕方はあるかもしれません。
重要キーワードは「口呼吸」。そして、それを導く「首周りの筋緊張」です。
赤ちゃん歯科(口育)とは本来、矯正治療より大切なことです。しかし、保護者の方のご理解・ご判断だけでの対応はなさらないでください。もしもそのご理解に齟齬がありますと、なにより赤ちゃんが困ります。ご相談時に、実践を交えてお伝えいたします。
治療法とクリニックの選択は、矯正治療の入り口であり、最も大切なことです。必ずご納得ができるまでリサーチをされてください。当院から精一杯お伝えさせていただくならば、「ランパセラピーが必要」と感じられるお子様は少なくありません。
カテゴリー:
SNSでシェアする
この記事を監修した人
こどもと女性の歯科クリニック
院長 岡井有子
看護師として京都府内産婦人科等勤務を経て、大阪歯科大学に入学。大阪歯科大学大学院歯学研究科で小児歯科学を学ぶ。歯学博士。
2017年東京都港区麻布十番にランパセラピー専門医院「こどもと女性の歯科クリニック」開院。
2024年「医療法人社団セントワ」開設。同法人理事長就任。
日本小児歯科学会・日本小児耳鼻咽喉科学会・日本耳鼻咽喉科頭頸部外科学会・日本ダウン症学会所属。
RAMPA研究会・赤ちゃん歯科ネットワーク所属。
2025年European Conference on Dentistry and Oral Health(パリ)、MENA Congress for Rare Diseases(アブダビ)などにおいて、ランパセラピー学会発表。
プライベートでは2児の母として忙しい毎日を送っている。
こどもと女性の歯科クリニック
AM8:30〜13:00 PM14:00~18:00(最終受付 17:30)
休診日:金曜・日曜日
〒106-0046 東京都港区元麻布1-4-27-101
TEL:03-6435-2281
新着コラム




